Day 153: Wicked Fate
So I'm in Scotland! I have a very weird accent now...sort of a bizarre combination of the Canadian "eh", the Greenlandic "oye!" and "aie!", the Australian "mate" and a bit of Scottish twang. So people never guess where I'm from, but, amusingly, I have been asked if I'm Native American like, half a dozen times. This is funny because they're actually right...my mum's side of the family is Native American, the dad's Scottish. But never in my life have people guessed I'm Native American, what with the red hair/green eyes/freckles. Interesting.
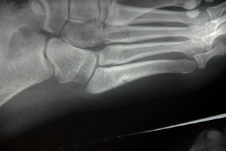
Ok...got some bad news. The rumors are true.
I broke my foot.
Now, this might seem like a disaster to most people. But after pursuing the x-rays, and having some deep thoughts about my pain tolerance, I decided that the only thing for it is to walk it off. I'm moving to Norway in a week, which for a number of reasons would be extremely difficult to postpone.
I wish I could tell you that I was...I dunno, dragging home a walrus, or something, but what actually happened is this. I flew into Scotland on Thursday, no big deal, met my friend Sarah (who I haven't seen in nearly two years). We go out to dinner and then we're walking around town - she lives across the street from the Edinburgh castle, like the most amazing place ever. Anyhow, I'm going down some stairs and land wrong and roll my foot.
At first I thought it was no big deal - I had minor stress fractures in both feet last year, and they hurt sometimes. So I assumed I just tweaked it again. But after some intense pain and realizing I couldn't walk, we had to ask some fellows to call me an ambulence and I spent the night in a Scottish hospital. Hellooo Scotland.
I was scared they would give me a cast, which would mean my trip is over (I can't handle a plaster cast in snow). But the wonderful doctor said he could give me a removable walking cast, and he expects it to be better in about 6 weeks. Since its a clean break, I can pretty much do whatever I want as soon as I feel ready. (Probably not the wisest thing to tell me, since now I'm going to walk on it ASAP).
My wooden crutches, circa 1800's Tiny Tim:
The first 24 hours hurt too bad to put my foot on the ground. By today I was able to use just one crutch and use the foot just a bit. Tomorrow?
FANCY POSH CANE:
In other news, here's Sarah with her Christmas present from me. It's set in Scotland. It was perfect.
Alright, foot. We've got one week. Let's go.






















































